48 Hours
48 hours is how long it’s been since his surgery. To me it seems longer since I’m spending all my time observing Willie in the hospital and slept here the last two nights. To me, and the surgeon/nurses, he’s doing great. To him, not so much. Typical level of pain is 6-8 once meds wear off. But the nursing staff has gotten his pain mostly under control with a combination of intravenous Tylenol and dilaudid when he needs more help, and oxy every 4 hours now either 5 or 10 mg depending on pain level.

The photo above shows many of the things going into his body right now.

Nurse 👆🏻Taylor on the left and EJ on the right are his day nurses that took over from Olivia who we’ve had the last two nights, shift change at 7-7:30. These girls are amazing and have already gotten him up and in a chair for 5 minutes at around 10:30 am. It was super painful for him and he couldn’t wait to get back to the bed and some pain meds asap. It’s not a fun time for him at all and he’s in a lot of pain and ready to be done. Dr. Loewen said day 2 and 3 would be the worst ones. And so far, everything he tells us has been 💯 true!!

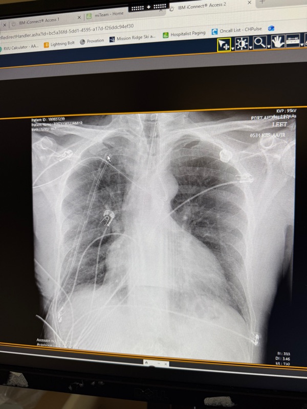
When Dr Loewen was in here this morning, I asked to see yesterday’s x-ray (thanks Debbie for recommending that I ask). It was so cool and here’s a pic of it above 🤞🏻. Check out all the tubes running around in his chest area. No wonder it hurts. That circle in upper right is his port-a-cath. They have told us they will access it today so that they can do blood 🩸 draws from his port instead of sticking him 💉each time, which is every day.

This morning, at 7:25 I walked around the corner to rhe Eye & Ear Clinic for my cataract surgery follow up. It’s been 6 weeks since right eye, and 4 weeks since left eye. I stopped putting drops in on Monday, YAY! This was my view leaving the 4th floor of the surgery recovery ❤️🩹 area. Great way to start the day and Willie is making great strides. He’s very strong and I’m super proud of him and impressed he can even handle any of this. All around him feel the same way and are super encouraged with his progress.
Tomorrow, Dr Loewen is still promising to take out the nose tube and do a fluids test to allow him to drink a bit of water. This will bring greater comfort. Foley will come out too. That’s 2 less tubes and great news. It makes a noisy sound that bugs him (Willie). Earplugs last night helped a lot.

Meanwhile, rest, sleep, breathing ever hour into the little machine, and sitting/standing/walking are his best medicines. That and managing the pain.
Thanks for update, really glad everyone say Willie is looking good, thinking about you guys,
ReplyDelete